whatsapp El cardiologo Mx telefono El cardiologo Mx
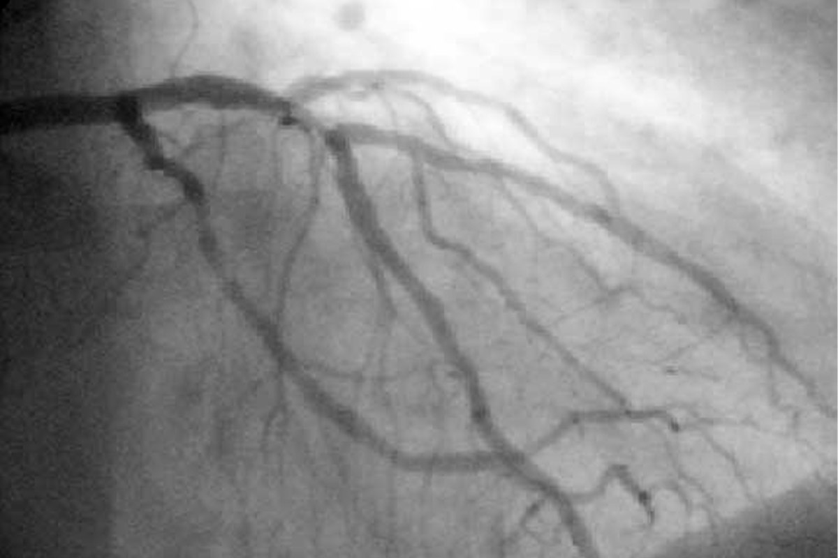
Angiografía coronaria
corazon

Angiografía coronaria

La angiografía coronaria es un examen de las coronarias bajo rayos X. Este estudio se realiza para analizar si se han obstruido o adelgazado por depósitos grasos llamados placa.

Prueba de esfuerzo
corazon

Prueba de esfuerzo

La prueba de esfuerzo es una técnica diagnóstica fundamental que se utiliza principalmente para el diagnóstico de la angina de pecho en pacientes con dolor torácico y para valorar la respuesta del corazón ante el ejercicio.

Ecocardiograma
corazon

Electrocardiograma

Es un examen que utiliza ondas sonoras para crear imágenes del corazón. Dicha imagen, y la información que produce, son mucho más detalladas que una radiografía simple.

Ecocardiograma Transtorácico
corazon

Ecocardiograma Transtorácico

Es una prueba diagnóstica de imagen. Se observa el tamaño del corazón, el grosor de sus paredes, su funcionamiento global y regional y el aspecto y comportamiento de sus válvulas.

Ecocardiograma Transesofágico
corazon

Ecocardiograma Transesofágico

Es una prueba de imagen diagnóstica que se realiza mediante una sonda transesofágica, para ver las estructuras cardíacas. Permite ver estructuras que no se podrían visualizar de otra manera.

Ecocardiograma de estrés con dobutamina
corazon

Ecocardiograma de estrés con dobutamina

Es un estudio diagnóstico que se puede utilizar cuando el médico desea evaluar el músculo cardíaco cuando está bajo estrés. El ecocardiograma es un procedimiento no invasivo que se utiliza para evaluar el funcionamiento y las estructuras del corazón.

Electrocardiograma (doce derivaciones)

Electrocardiograma (doce derivaciones)

Se utiliza comúnmente para medir daños al corazón, ver qué tan rápido está palpitando, ver qué efecto tienen ciertos fármacos o dispositivos, así como para analizar el tamaño y posición de las cámaras del corazón.

Holter (doce derivaciones).
corazon

Holter (doce derivaciones)

El monitor Holter puede registrar la frecuencia y el ritmo cardíaco en el momento en que el paciente siente dolor en el pecho o tiene síntomas de latidos irregulares (lo que se denomina arritmia).

M.A.P.A. (Monitoreo Ambulatorio de Presión Arterial)
corazon

M.A.P.A. (Monitoreo Ambulatorio de Presión Arterial)

El M.A.P.A. es un estudio no invasivo que pretende obtener una medición de la presión arterial durante un periodo de tiempo determinado de forma ambulatoria.